
Boala de reflux gastro-esofagian este una din cele mai comune probleme ale tractului digestiv superior. Poate avea o evoluție cronică, cu remisiuni spontane, durabile, iar în general răspunde bine la tratament. În anumite cazuri, boala de reflux poate dezvolta complicații la unele persoane, iar pentru vindecare sunt necesare chiar intervenții chirurgicale. Sunt cazuri în care leziunile duc la stenoză, ulcere, esofag Barrett sau afecțiuni pulmonare.
Pentru a pune diagnosticul, medicul va folosi anumite metode de investigație pentru refluxul gastro-esofagian. Examenul radiologic al esofagului, duodenului, stomacului este unul dintre acestea și poate fi urmat de alte examene și anume: endoscopia și biopsia. Examinarea radiologică permite depistarea unor diferite grade ale bolii de reflux gastro-esofagian. Dezvoltarea acestei boli de reflux are loc atunci când apare un volum semnificativ de conținut gastric și o proastă evacuare a acestuia.
Testul radiologic este foarte important din punct de vedere clinic pentru descoperirea acestei boli. Prin examinarea tubului digestiv superior se pot obține informații importante despre boală. Prin testul radiologic se pot depista și cele mai ușoare forme de esofagită. În ceea ce privește formele medii sau grave, acestea sunt foarte bine vizibile la acest examen clinic.
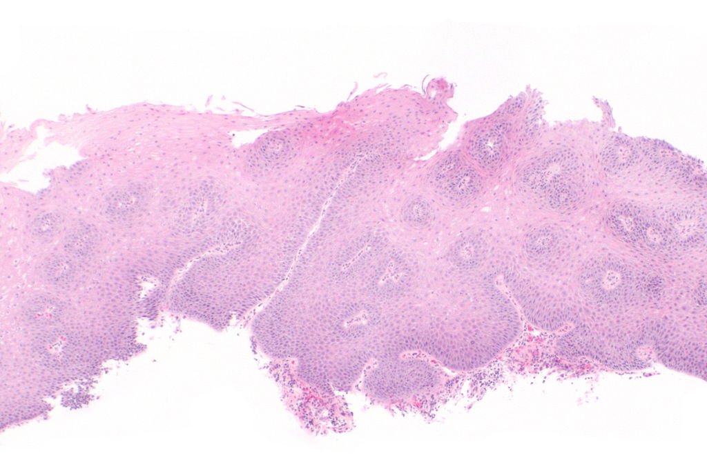
Endoscopia este cea mai bună metodă pentru depistarea unei forme severe de esofagită. În cazul în care medicul poate suspecta la un pacient o esofagită de reflux poate folosi endoscopia digestivă superioară pentru a fi sigur de acest diagnostic. Prin acest test de investigație clinică se pot descoperi cele 5 grade de esofagită.
În esofagita de gradul 1 apare o singură leziune izolată care afectează un fald al mucoasei și este ovală sau liniară. În esofagita de gradul 2 apar mai multe eroziuni care pot distruge mai multe falduri ale mucoasei acestui organ. În esofagita de gradul 3 sunt depistate mai multe leziuni circumferențiale. În esofagita de gradul 4 apar leziuni cronice pe esofag. În esofagita de gradul 5 este vorba despre așa numitul esofag Barret cu stricture mai mici și reepitelizare cu mucoasă cilindrică. Prin intermediul biopsiei (din zona de stenoză, de sub stricturi și de deasupra lor) se poate depista o formă ușoară de esofagită și astfel se stabilește un tratament corespunzător vindecării bolii.
În scopul stabilirii diagnosticului se face ultrasonografia endoscopică care permite analiza peretelui esofagian. În cazuri de spasm esofagian difuz sau acalazie se observă o îngroșare a peretelui esofagian distal. Alte teste pentru diagnosticarea bolii de reflux gastro-esofagian sunt: manometria staționară a segmentului faringo-esofagian, a sficterului esofagian inferior și a corpului, cinevideoroentgenografia, scintigrafia tranzitului esofagian.
Prin manometria esofagiană staționară se analizează funcția motorie a sfincterelor și esofagului. Se face în cazuri de dureri toracice necardiace, disfagie și odinofagie, pentru depistarea modificărilor structurale mai ales dacă este suspectată o afecțiune motorie. Prin acest test se poate observa o deficiență mecanică a sfincterului drept din cauza conținutului acid gastric.
Metoda se aplică la pacienții cu reflux anormal și cu leziuni pe mucoasa esofagului. Manometria esofagiană poate identifica originea durerilor toracice ce nu sunt de tip cardiac. În general metoda este bună pentru diagnosticarea bolii de reflux gastro-esofagian care dă dureri toracice și afecțiuni motorii la esofag.

O altă tehnică este videocineroentgenografia care permite vizualizarea fazei faringiene a deglutiției. Cu ajutorul acestei metode se poate depista disfuncțiile cricofaringiene sau orofaringiene. Pentru diagnosticul bolilor de esofag se folosește și scintigrafia tranzitului esofagian care este o tehnică foarte exactă a depistării unor anomalii motorii prin intermediul înregistrării timpului de evacuare esofagiană.
Medicul realizează teste clinice pentru a afla expunerea crescută a esofagului la sucul gastric. Se determină timpul de expunere a mucoasei gastrice la sucul gastric acid, dar și abilitatea esofagului de eliminare a refluxatului acid.
Refluxul duodeno-gastric esofagian poate fi cauzat și de conținutul în acizi biliari sau în enzime activate de la pancreas. Prin metoda de aspirare ambulatorie a refluxatului esofagian se poate depista prezența acestora în esofag. Un alt test este cel al refluxului acid standard care se face prin amplasarea pH-electrodului la o distanță de 5 cm deasupra sfincterului esofagian inferior.
Prin 4 manevre (respirație foarte profundă, manevra Valsalva, Mueller și tuse) se va măsura pH-ul. La unii pacienți apare refluxul spontan care poate fi detectat radiologic. Lipsa acestuia nu indică lipsa bolii. Medicul poate folosi și teste care provoacă simptome esofagiene și care ajută în stabilirea diagnosticului. Dintre acestea face parte testul perfiziei acide Bernstein care poate reproduce simptomele după infuzia cu acid în stomac.
Dacă testul este pozitiv rezultă că esofagul este senzitiv la acid, iar dacă pacientul nu are nici un simptom timp de jumătate de oră înseamnă ca testul este negativ. Un alt test este cel cu edrophonium sau Tensilon care ajută la depistarea durerilor esofagiene. Testul este pozitiv când apar dureri după injectarea intravenoasă a inhibitorului de colinesterază numit Tensilon. Distensia esofagiană pneumatică este un test ce poate diferenția durerile esofagiene de durerile cardiace.
Prin studiul secreției gastrice acide sau determinarea acidului titrabil în sucul gastric aspirat se poate depista boala refluxului gastro-esofagian. Prin studii radioizotopice se poate evalua foarte bine evacuarea gastrică, atât a lichidelor cât și a solidelor. Prin manometria antro-duodenală se află hipomotilitatea antrală, creșterea presiunii pilorice, aritmiile antrale, creșterea presiunii duodenale, hiper și hipomotilitatea, evacuarea gastrică a refluxului duodeno-gastric.
De asemenea acest reflux duodeno-gastric se poate observa și prin colecistoscintigrafie. Monitorizarea tubului digestiv superior se poate face cu recordere digitale portabile și ajută la evaluarea integrală a activității motorii, secretorii a faringelui și esofagului. Prin această tehnologie medicul studiază funcția tubului digestiv superior și astfel nu mai este necesar să folosească alte teste individuale pentru diagnosticul bolii de reflux gastro-esofagian.
Medicul folosește frecvent colecistoscintigrafia sau scintigrafia hepato-biliară ce ajută la analiza conținutului duodenal în stomac iar în plus indică și refluxul conținutului duodenal. O altă metodă este endoscopia digestivă superioară pentru stabilirea diagnosticului bolii de reflux gastro-esofagian. Endoscopia permite studiul tubului digestiv superior, observarea gastritei, a ulcerațiilor antrale, refluxului intestine-esofagian, refluxului excesiv duodeno-gastric, gastritei cronice. Biopsia face parte și ea din categoria testelor pentru diagnosticul acestei boli.























