
Boala celiaca reprezinta intoleranta si sensibilitatea intestinului subtire la gluten si este considerata ca fiind una dintre cele mai raspandite boli genetice din Europa. Glutenul este proteina ce apare in diferite cereale boabe, respectiv in grau, orz si secara. Orzul si porumbul nu contin aceasta proteina.
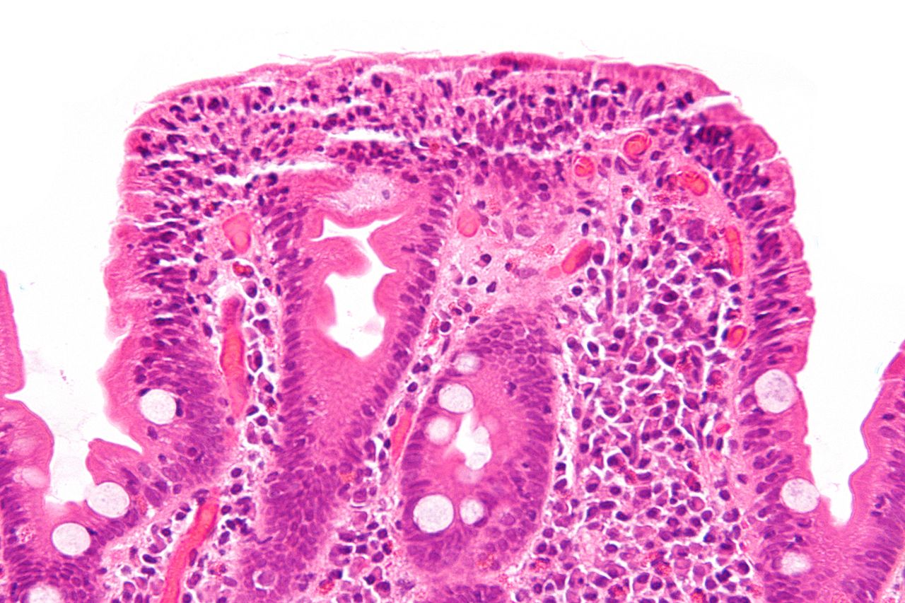
Aceasta boala este mult diferita de o alergie. Glutenul irita intestinul subtire si in scurt timp duce la deteriorarea unor prelungiri minuscule in forma de deget – numite vili – care se gasesc la suprafata mucoasei si au rol in absorbtia alimentelor.
Desi numele bolii – celiac – se refera numai la cavitatea abdominala, in unele cazuri mai grave boala poate crea complicatii si la o distanta de stomac si intestin.
Simptomele bolii:
- Apare senzatia de balonare si acumulare de gaze in stomac.
- Persoana in cauza are dureri si senzatia de distensie in zona abdominala.
- Datorita absorbtiei reduse de nutrienti la nivelul intestinului apare starea de slabiciune si oboseala.
- Deficitul de fier (care nu se mai absoarbe normal) duce la anemie.
- De asemenea deficitul de calciu va da dureri de oase si crampe musculare.
- Apare greata, diaree, scaunele sunt apoase, deschise la culoare, urat mirositoare, cu globule galbene de grasime.
- Dupa ingestia glutenului prin diferite alimente apar stari de voma, in special la copiii care au aceasta boala.
- Persoana scade in greutate, devine astenica, nu are pofta de mancare.
- Pacientii care sufera de dermatita herpetiforma au basicute care provoaca mancarimi, in zona genunchilor si a coatelor.
- Pruncii care au consumat aceste cereale in cateva saptamani au semne de suferinta digestiva.
- Copiii sunt astenici, au intarzieri de crestere si slabiciune musculara.
Boala celiaca poate sa apara atat la femei cat si la barbati. S-a constatat ca boala afecteaza mai mult pe femei, chiar de doua ori mai mult decat pe barbati. Poate sa apara la orice varsta, deseori survine la varsta de sugar, sau in primii ani de viata ai copiilor.
Cauzele acestei boli nu se cunosc cu exactitate, insa in urma unor cercetari s-a ajuns la concluzia ca sensibilitatea la gluten poate fi determinata de deficitul unei enzime care are rol de a digera glutenul. De asemenea alte cercetari au aratat ca o anomalie a sistemului imunitar poate conduce la distrugerea mucoasei intestinale de catre anumite celule, atunci cand glutenul este prezent in alimentatie.
La aparitia simptomelor prezentate mai sus este obligatoriu ca persoana in cauza sa apeleze la un medic de specialitate. In vederea stabilirii diagnosticului medicul va face prima data analiza sangelui. Prin aceasta el va depista anticorpii ce sunt prezenti daca acea persoana este sensibila la gluten. Pentru a vedea daca exista o anomalie la nivelul mucoasei abdominale va recomanda sa se faca si o radiografie cu bariu. De asemenea pentru stabilirea cu certitudine a diagnosticului se va face o biopsie, prin care se va recolta o proba foarte mica din mucoasa intestinala si se va observa la microscop.

La persoanele care au fost diagnosticate cu boala celiaca si totusi nu elimina glutenul din alimentatie creste riscul de a face un cancer la intestinul subtire. Inceputul unui cancer intestinal se manifesta la cei care au deja aceasta boala celiaca prin dureri abdominale, diaree, scadere in greutate.
Barbatii cu aceasta boala pot suferi de impotenta, iar dupa inceperea tratamentului ei isi pot recapata potenta sexuala dupa o perioada de doi ani. Femeile care nu urmeaza un tratament vor reusi foarte rar sa ramana insarcinate si vor avea tendinta de a face avort.
Metode de tratament:
Cei care sufera de boala celiaca nu trebuie sa consume paste fainoase, produse de brutarie, orice tip de aliment pe baza de faina de grau sau cereale integrale.
Medicul va prescrie o serie de medicamente – prednisol, corticosteroizi – care ajuta in vindecarea intestinului.
Este foarte bine sa se consulte un dietetician care poate identifica mult mai bine produsele ce au un continut de gluten in forme ascunse. Astfel spre exemplu sosul de soia dar si amidonul alimentar modificat apar in anumite alimente preambalate.
Pacientul va putea sa consume orez, porumb, mei, faina fara gluten, insa ii vor fi interzise alimentele pe baza de grau, ovaz, secara si orz.
Pacientii trebuie sa evite lactatele si produsele grase, deoarece se digera mai greu. Pentru a se evita constipatia (care apare datorita deficitului de fibre) este recomandata o lingurita de tarate de orez amestecata cu un pahar de suc de fructe.
Alimentatia va fi completata de vitamina A, acid folic, zinc si papaina (o enzima care ajuta la digerarea glutenului) – care ajuta in mentinerea starii de sanatate a tubului digestiv.
Un bun remediu in calmarea intestinului este coaja de ulm (Ulmus fulva). Se bea de 4 ori/ zi cate o canita de apa calda in care s-a amestecat un sfert de lingurita de pulbere de coaja de ulm. Diareea se poate trata cu infuzie de cretusca (Filipendula ulmaria): se pune o lingurita de planta uscata la o cana cu apa fierbinte, se lasa la infuzat timp de 15 minute si se bea.
In alimentatie trebuie introduse suplimente nutritionale care sa contina fier si acid folic.
Daca se respecta tratamentul, starea pacientilor se poate imbunatati in cateva zile, iar vindecarea completa se realizeaza in cateva luni, deoarece mucoasa intestinala se reface destul de greu. Persoanele care au suferit de aceasta boala trebuie toata viata sa consume alimente fara gluten.























