
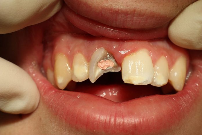
Uneori, se poate întâmpla ca din diferite motive să se rupă un dinte permanent. De obicei acest lucru se produce din cauza unui accident. Cauzele sunt diverse: unii oameni se pot lovi la un dinte când se grăbesc să bea dintr-o sticlă sau când ronțăie bomboane ori mușcă brusc din alte alimente dure (un os, porumb, etc). Un dinte se poate rupe dacă este afectat de carie sau în urma unei lucrări dentare. Caria poate deteriora dintele, structura interioară a acestuia, poate facilita pătrunderea bacteriilor în dinte și poate slăbi rădăcina lui.
Măsuri de prim ajutor în caz de rupere a unui dinte permanent
Nu este nimic ieșit din comun ca o persoană să simtă la un moment dat cum i s-a rupt un dinte permanent. Acest lucru i se poate întâmpla în timp ce mănâncă o bomboană sau chiar se spală pe dinți. Când se rupe un dinte, acesta trebuie repus imediat în alveola sa. Dacă este posibil, dintele trebuie ținut de persoana respectivă în interiorul maxilarului. Dintele trebuie împins încet în alveola sa, iar apoi se aplică o compresă din tifon deasupra lui și se strânge ușor din dinți pentru a ajuta la fixarea acestuia în locul din care a ieșit.
Dintele trebuie ținut ferm în alveolă până se ajunge la dentist. Dacă persoana nu poate ține dintele în interiorul maxilarului trebuie să îl pună într-un căpacel cu lapte pentru a nu se usca. Dacă dintele este curățat sau lăsat să se usuce, țesuturile lui pot fi deteriorate și astfel nu se mai poate realiza reimplantarea lui. În cazul în care se rupe un dinte permanent trebuie mers cât mai repede la un medic dentist.
În cazul în care o persoană suferă o ruptură de dinte este traumatizată, ea poate avea durere la maxilar. Principalii factori de risc ai ruperii dinților sunt cariile, prinderea bruscă a unui os în dinți, parodontita sau inflamația gingiei, fisura smalțului dinților, încleștarea involuntară a maxilarului sau burxismul. Indiferent de modul cum se produce ruperea dintelui, acesta trebuie ținut în lapte pentru a nu se usca și victima trebuie dusă repede la medicul stomatolog. Doar astfel ea va avea șanse de a fi consultată de medic iar fragmentul de dinte sau întregul dinte de a fi repus la loc, reparat sau implantat.
Medicul stomatolog va face un examen radiografic, va verifica dacă există daune la nervul și rădăcina dintelui. Succesul implantării dintelui depinde de cât de rapid se ajunge la medic, de cât de gravă este trauma și de absența leziunii nervilor. Dacă este posibil, medicul va repara dintele când este rupt un fragment din el, va implanta dintele când țesuturile nu sunt afectate, sau când repararea este imposibilă va recurge la folosirea unui compozit pentru reconstruirea formei dintelui.























