
Organismul uman ar putea fi privit ca o incapere microbiologica, avand in vedere marea varietate de microorganisme care locuiesc in interiorul sau. Unii microbi nu fac rau dar nu aduc nici beneficii, altii din contra sunt chiriasi ocazionali, iar in alta categorie intra cei pe care nu-i dorim in organism, care sunt foarte periculosi pentru ca ne afecteaza sanatatea.
In articol ne referim la Heliobacter pylori – numele latin al unui microb foarte periculos – care este vinovat de aparitia ulcerului si gastritei. Acest microb traieste in om si prefera zona stomacului.
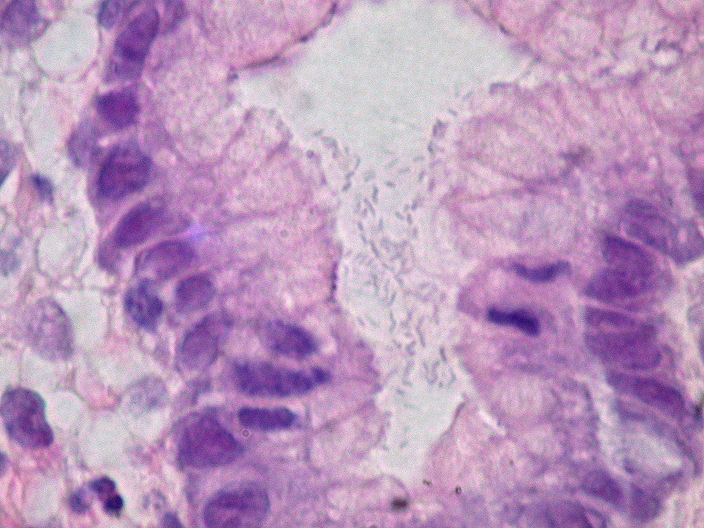
Este o bacterie de forma spiralata care dupa ce intra in corp, se deplaseaza in partea de jos a stomacului, ajunge si in duoden, penetreaza stratul de mucus care acopera peretele stomacului, respectiv mucoasa stomacala si transforma acidul gastric intr-un acid foarte coroziv. Astfel se ajunge la un exces de acid gastric care duce la aparitia inflamatiilor peretilor stomacului, la dezvoltarea gastritei si apoi a ranilor si ulcerului gastric si duodenal.
Cercetatorii au ajuns la concluzia ca nu mai putin de 60% din populatia lumii sufera de infectia cu bacteria Heliobacter pylori.
Nu exista un vaccin de prevenire a acestei infectii cu Helicobacter pylori
Unii oameni sunt mai sensibili la basteria Heliobacter pylori, altii sunt mai rezistenti. Cert este ca acest microb Heliobacter pylori se poate transmite foarte usor de la un om la altul prin saliva, fecale, mancare, apa contaminata, diferite lucruri (ustensile, manerele usilor toaletelor publice, etc).
Simptomele care apar datorita infectarii cu aceasta bacterie sunt: senzatie de balonare si de greata, lipsa apetitului alimentar, durere de stomac mai ales inainte de masa (aceasta se amelioreaza dupa ce persoana mananca), flatuleta si asa numitele ragaieli.

Daca pana acum oamenii credeau ca ulcerul si gastrita sunt boli determinate in principal de consumul de alcool, cafea, de fumatul excesiv, stres, starile de nervi, alimente acre, prajite, condimentate excesiv si asa mai departe, in prezent s-a ajuns la concluzia ca cea mai importanta cauza a acestor probleme digestive este bacteria Heliobacter pylori.
Dupa cum spuneam nu toti oamenii sunt sensibili la acest microb, astfel doar o parte din oameni ajung sa dezvolte ulcer peptic. Cei care nu au rezistenta la Heliobacter pylori isi cresc riscul de a se imbolnavi de ulcer datorita altor factori si anume: consumul de alcool, fumat, dieta necorespunzatoare, stres, stari nervoase, etc. Spre deosebire de ulcer – care este o boala ce apare doar la anumiti oamenii – gastrita este o afectiune digestiva care poate afecta orice persoana.
Iar in aceasta situatie cel mai mare vinovat de declansarea ei este microbul Heliobacter pylori. Cei care simt o stare de greata, de limba incarcata, de arsuri stomacale, de plenitudine in stomac, sangerare a gingiilor, eructatii si gust neplacut in gura se pot astepta la o astfel de afectiune, provocata de infectia cu Heliobacter pylori. Nu mai ramane decat sa ceara ajutorul unui medic gastroenterolog, acesta este in masura sa faca un set de analize (o anamneza, probe de scaun, analize de sange, endoscopie, testul respiratiei) pentru a determina tipul de microb care a creat problemele digestive si sa puna un diagnostic.
Pentru vindecare medicul va prescrie un tratament pe baza de antibiotice pentru eliminarea microbului si medicamente care au rolul de a scadea productia de acid clorhidric in stomac. De asemenea, pacientul va trebui sa nu consume medicamente antiinflamatoare nesteroidiene deoarece acestea pot agrava simptomele afectiunilor digestive.
Acest microb Heliobacter pylori poate duce la aparitia gastritei in 95% din cazuri dar si la aparitia altor boli ca de exemplu: atrofie gastrica, displazie, metaplazie intestinala, carcinom.
Ca masura de prevenire a infectiei cu Heliobacter pylori medicii recomanda sa respectam igiena personala, iar in cazul in care este depistata infectia sa se aplice un tratament precoce atat persoanei bolnave cat si a celorlalti membri ai familiei (care pot fi si ei afectati de baterie, probabilitatea fiind foarte mare).























