
Mononucleoza infectioasa este o boala provocata de un virus, caracterizata prin febra insotita de angina, micropoliadenopatii si splenomegalie, cu modificari caracteristice in sange si proprietati serologice particulare. Boala poate fi usor confundata cu alte afectiuni, in special cu difteria, fata de care trebuie luate masuri speciale de tratament.
Dupa ce multa vreme a fost confundata cu alte boli, in 1885, Filatov este primul care a semnalat inflamatia fara explicatii a ganglionilor la copil. In 1889 au fost descrise caracteristicile clinice de Pfeiffer. Turk (1907) a descris modificarile hematologice specifice acestei afectiuni si a separat boala de leucemie. Hanganutiu in 1924, Deicher in 1926, Paul si Bunel in 1932 si Davidson in 1937 au pus in evidenta anticorpi aglutinati ai hematiilor de berbec de catre serul uman.
In ultima vreme, pe baza unor fapte experimentale, se crede ca mononucleoza infectioasa se datoreaza unui virus. Unii autori au reusit sa transmita boala la maimuta, folosind sange si triturat ganglionar, recoltate in prima perioada a bolii, pe care l-au inoculat subcutanat, intramuscular sau intravenos. Altii au transmis boala folosind exudatul faringian de la bolnavi, cu care au badijonat faringele altor persoane. Autorii japonezi sustin ca au izolat un virus caruia i-au descris si caracterele. Dar sunt si autori care sustin ca afectiunea nu ar fi o boala ci un sindrom cu patogenie alergica
Agentul patogen patrunde in organism pe cale rinofaringiana si afecteaza intregul tesut mezenchimatos si in special tesutul reticuloendotelial din sistemul ganglionar-limfatic, care se manifesta prin marirea volumului. In sangele periferic apar mononucleare atipice. Angina pseudomembranoasa se explica prin hipertrofia tesutului amigdalian. In organele bogate in tesut limfatic (ganglioni si splina) se remarca o puternica hiperplazie limfoida. In ficat si plamani se produce hiperplazia celulelor reticulare si infiltratii cu mononucleare ale spatiilor conjunctive.
Incubatia este cuprinsa intre 4 si 15 zile, in medie 7 zile. Perioada de invazie este scurta, 1-3 zile si cuprinde debutul lent dar progresiv cu febra, disfagie, cefalee, indispozitie. Perioada de stare dureaza 7-14 zile in care apar semnele caracteristice: adenosplenomegalie, angina si febra.
Adenopatiile apar precoce, uneori inaintea anginei. Sunt prinse in general toate grupele ganglionare si intensitatea prinderii lor este de obicei moderata. Mai frecvent sunt prinse grupele occipitale si cervicale. Prinderea ganglionilor mezenterici si traheobronsici da nastere la semne abdominale si pulmonare. Ganglionii prinsi nu supureaza si nu prezinta procese de periadenita.
Angina poate imbraca diverse aspecte: eritematoasa, eritematopultacee, pultacee, ulceroasa, ulceromembranoasa, in special pseudomembranoasa, care pune probleme de diagnostic diferential cu difteria. In exudatul faringian se pune in evidenta o flora polimorfa.

Spenomegalia (splina marita) este prezenta in 2/3 din cazuri; de obicei este moderata, de consistenta moale. Febra nu este caracteristica. Poate atinge uneori 40 de grade C iar alteori poate lipsi. S-au mai semnalat si alte manifestari ale bolii: hepatomegalie (ficat marit) usoara si jena in regiunea hepatica. Uneori afectarea ficatului poate sa duca la icter hepatocelular. Pot sa apara, de asemenea, eruptii cu caracter divers: rujeoliform si rubeoliform sau fin petesiale, cam in 30 % din cazuri. Mai rar pot sa apara reactii meningeene care agraveaza boala, mai ales cand se adauga si encefalita. S-au mai descris si pneumonii interstitiale.
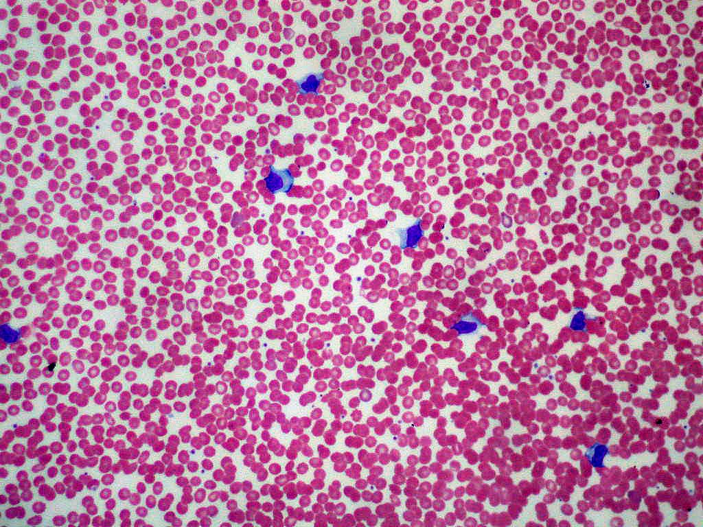
Leucocitele cresc pana la 15000-20000/mm cub, uneori ajungand pana la 30000. Cresterea leucocitelor este un semn important al mononucleozei infectioase. In frotiul de sange se vede cresterea numarului mononuclearelor 50-80-95 %, inepand din a 6-a, a 10-a zi, descrescand apoi foarte incet, uneori in cateva luni.
Cresterea este facuta pe seama limfocitelor mijlocii si mari, monocitelor si plasmocitelor normale, la care se adauga mononuclearele anormale, care dau un aspect polimorf lamei de sange. Apar in frotiu elemente caracteristice denumite virotice, provenite din sistemul reticuloendotelial, care reactioneaza special la actiunea agentului patogen. Catre sfarsitul bolii aceste elemente anormale devin mai rare, locul lor fiind luat de limfocite. Numarul hematiilor si al trombocitelor este normal.
In mononucleoza infectioasa creste puterea aglutinanta normala a serului de om fata de hematiile de berbec, de la dilutii foarte mici, ½-1/4 la dilutii foarte mari: 1/64 pentru adulti si 1/16-1/32 la copii. Reactia este pozitiva inca din prima saptamana de boala si titrul creste 2-3 saptamani, dupa care se mentine ridicat timp indelungat, scazand abia in cateva luni. Pentru ca reactia sa fie intr-adevar pozitiva, ea trebuie sa fie repetata si in dinamica titrul anticorpilor sa creasca.
Diagnosticul pozitiv al mononucleozei infectioase se pune pe baza semnelor clinice si a examenului de laborator. Diagnosticul diferential priveste in primul rand doua categorii de boli: bolile de sange (leucoze acute si cronice) si angina difterica. La acestea se adauga si diagnosticul diferential cu boala Hodgkin.
Sunt si alte boli care trebuie avute in vedere pentru diagnosticul diferential (rubeola, luesul, alte angine decat cea difterica, limfocitoza acuta infectioasa, etc.) dar prin faptul ca nu reprezinta boli prea grave, nu pun viata bolnavului in pericol. In toate cazurile, examenul clinic, completat cu cel de laborator realizeaza diagnosticul.
Tratamentul mononucleozei infectioase este simptomatic si nu foloseste antibiotice decat in cazurile in care apar complicatii bacteriene. Profilaxia nu necesita masuri speciale.























