Te doare gatul si esti racit? Alege nectarul lui Nero pentru...
Imparatul Nero obisnuia sa serveasca un adevarat elixir realizat din ceapa sau praz in combinatie cu miere de albine. Acesta considera ca prin combinatia celor...
Scapa de sindromul intestinului iritabil cu ceai englezesc de menta si...
Sindromul intestinului iritabil este o afectiune gastrointestinala care apare frecvent in ultimii ani la femei si barbati si a fost asociata cu alimentatia necorespunzatoare,...
Scapa de mahmureala cu ajutorul siropului elizabetan de rozmarin si lamaie
De regula mahmureala apare dupa o noapte grea din cauza consumului mare de alcool. Cel care sufera de mahmureala are simptome specifice neplacute dar...
Suferi de infectii respiratorii si te doare gatul? Alege limonada aromata...
Limonada este o bautura preferata de toata lumea. Oamenii servesc limonada in orice sezon, ea fiind foarte aromata mai ales daca are anumite ingrediente...
Cum scapam de obezitate prin tratamentul aromaterapeutic?
Una din marile probleme ale societatii moderne este obezitatea. Ea duce la aparitia unor boli, efecte nocive in organism si la scaderea duratei de...
Cura cu tarate, remediu minune pentru organism
Tarata din coaja bobului de grau bogata in substante nutritive ajuta in combaterea multor afectiuni si boli. Fulgii de tarate se pot consuma in...
Ai probleme cu fierea? Foloseste miere de castan
Mierea de castan este un produs apicol extraordinar, unul din cele mai valoroase, nu trebuie decat sa o gusti si vei vedea ca nu...
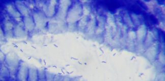
Helicobacter pylori – microbul vinovat de aparitia ulcerului si gastritei
Organismul uman ar putea fi privit ca o incapere microbiologica, avand in vedere marea varietate de microorganisme care locuiesc in interiorul sau. Unii microbi...
Afla de ce lecitina este foarte importanta pentru corpul uman
Stiati ca lecitina este extrem de importanta pentru sistemul nervos, inima, creier, ficat, bila, toate celulele si in general pentru corpul uman? Specialistii in...
Suferi de astenie de primavara? Scapa de starea de epuizare cu...
Stiati ca polenul ajuta in revitalizarea fizica si psihica? Polenul iti ofera doza de energie de care ai nevoie intr-o zi. Nu mai este...
Cum si cand se face testul Papanicolau la femei?
Acest test este foarte important pentru orice femeie, trebuie considerat o analiza de rutina (o analiza la microscop a celulelor colului uterin) deoarece cu...
Cura cu tije de papadie, un remediu excelent pentru bolile de...
Cercetatorii occidentali in domeniul sanatatii au demonstrat proprietatile uimitoare ale papadiei, faptul ca ea contine o gramada de nutrienti, toate partile sale sunt comestibile...
Ce tipuri de stafide exista si care sunt proprietatile lor benefice...
Stiati ca stafidele se produc din struguri fara samburi si sunt de mai multe tipuri? In articol prezentam cateva aspecte legate de istoria stafidelor,...
Leurda ajuta la detoxifierea organismului si consolidarea sistemului imunitar
Leurda este o planta cunoscuta inca din antichitate, acest lucru o dovedesc descoperirile in straturile culturale ale perioadei neolitice. Conform arheologilor, leurda era folosita...
Care sunt riscurile pentru sanatate datorate excesului de sare?
Stiati ca un om nu trebuie sa consume mai mult de 5 grame de sare pe zi? Aceasta este doza medie de sare pe...



































