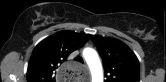
Cum se manifesta achalazia si cum se trateaza aceasta boala rara...
Achalazia este o boala rara a esofagului care se caracterizeaza prin faptul ca nu permite alimentelor sa ajunga in stomac. Diferite tulburari de deglutitie...
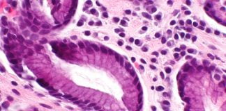
Cum recunoastem gastrita, care sunt cauzele si tratamentul ei?
Gastrita este o afectiune grava a stomacului caracterizata prin inflamatia mucoasei acestuia. Majoritatea oamenilor au anumite simptome dispeptice si spun ca sufera de gastrita....
Stiati ca bolile de piele se agraveaza in timpul iernii?
Iarna, frigul devine principalul inamic al pielii, el perturba echilibrul sau natural. Este suficient ca temperatura exterioara sa scada sub zero grade si pielea...
Stiati ca ceaiul de busuioc combate raceala si amelioreaza durerile de...
In anotimpul rece multe persoane au gura si pielea uscata, stari de nervi si de anxietate, sufera de frisoane, alergii, mancarimi, raceala sau afectiuni...
Cum apar tulburarile de anxietate si care sunt metodele de tratare...
Foarte multe persoane sufera in prezent de tulburari de anxietate, ele sunt tensionate, au stari intense de frica care sunt asociate cu stresul din...
Cat de utila este coenzima Q10 pentru sanatatea inimii si imunitatea...
Coenzima Q10 este numita si ,,vitamina inimii" si se gaseste in orice celula a corpului uman, in mitocondrii. Specialistii in medicina recomanda ca aceasta...
Ce boli si afectiuni pot fi tratate cu albusul si galbenusul...
Specialistii in domeniul sanatatii recomanda persoanelor sanatoase sa consume un ou de gaina pe zi, acesta fiind un aliment consistent, bine echilibrat, cu proprietati...
Vezi cum poti sa eviti blenoragia (gonoreea), ce simptome are si...
Gonoreea este o boala venerica care trebuie tratata la timp, in caz contrar poate duce la infertilitate atat la barbati cat si la femei....
Cele mai bune produse pentru sanatatea oaselor si combaterea osteoporozei
Una din cele mai comune boli ale sistemului osos care apare la varsta inaintata este osteoporoza, fragilitatea osoasa sau pierderea de masa osoasa. Prin...
Prin sarutul frantuzesc se poate transmite boala mononucleoza prezenta la 15%...
Mononucleoza este o boala infectioasa care se transmite prin saliva, prin sarut sau act sexual, de la o persoana care are deja virusul la...
Care sunt cele mai bune vitamine pentru cresterea imunitatii organismului?
La copii dar si la adulti stilul de viata echilibrat ajuta in mentinerea sanatatii corpului. Acest lucru inseamna ca ei trebuie sa aiba o...
Remedii naturiste cu ceapa eficiente pentru raceala
Iarna foarte multi oameni sufera de gripa si raceala. Tusea este unul dintre simptomele care apar in cazul acestor afectiuni si reprezinta o reactie...
Cum tratam insomnia prin aromaterapie cu uleiuri esentiale?
Aromaterapia este cea mai buna metoda pentru tratamentul insomniei, mai ales pentru persoanele care nu iau somnifere. Potrivita statisticilor, unul din trei oameni sufera...
Ce boli ascunde durerea de gat si cum poate fi tratata?
Mai ales iarna, din cauza frigului se intampla sa suferim de durere in gat. Comparativ cu femeile, medicii specialisti au constatat ca barbatii sufera...
Afla cum uleiul de masline curata ficatul si mentine sanatatea organismului
Pentru a ne mentine sanatatea trebuie sa avem grija de organele noastre, sa ne preocupe detoxifierea organismului, curatarea lui de toxine. Unul din cele...



































