Care este importanta fierului in organism?
Stiati ca…Eritrocitele sau globulele rosii transporta oxigenul si limfocitele care sunt importante pentru imunitatea organismului. Fierul ajuta in procesul de formare a sangelui...
Diabetul zaharat de tip 2 (non-insulino dependent) – simptome, tratament, alimentatie
Diabetul zaharat de tip 2 (non-insulino dependent) este o boala ce afecteaza metabolismul glucidic deoarece se caracterizeaza prin disfunctii metabolice. Aceasta boala este foarte...
Incontinenta urinara la femei – Tratamentul cu ajutorul exercitiilor Kegel
Exercitiile Kegel ofera metode de tratament pentru incontinenta urinara la femei. Acestea sunt foarte simplu de realizat si au in vedere consolidarea muschilor pelvieni.Dar...
Fibroza chistica – Mucoviscidoza, boala genetica mortala
Fibroza chistica reprezinta o boala genetica care nu are tratament curativ, astfel in timp se agraveaza tot mai mult si duce la moarte.Boala se...
Hemofilia (Boala Christmas)
Hemofilia este o tulburare genetica grava de tip hematologic cauzata de lipsa factorilor de coagulare VIII si IX. Boala este foarte grava si apare...
Boli ginecologice – Endometrioza
Una dintre cele mai grave boli ginecologice este endometrioza. Boala are o frecventa crescuta in Statele Unite ale Americii, conform unui studiu 15% dintre...
Diabet zaharat de tip 1 (insulino-dependent)
Diabetul zaharat de tip 1 (insulino-dependent) este o boala foarte grava prin care organismul nu poate metaboliza in mod corect glucidele. Boala este cauzata...
Crupul laringian, difterie cu localizare laringiana
Crupul laringian este o boala inflamatorie a tractului respirator superior, o infectie de natura virala a laringelui, bronhiilor si traheei – prin care se...
Care sunt afecțiunile tiroidei în perioada toamnă-iarnă?
Afecțiunile tiroidei apar de obicei atunci când te simți deja sub o mare presiune. Anumite experiențe negative intense pot declanșa reacții fiziologice precise, ca...
Diabetul gestational apare la femeile insarcinate
Diabetul gestational este o boala care apare la femei in timpul sarcinii. Conform sondajelor din numarul total de femei insarcinate aproximativ 2-14% fac aceasta...
Ce este sindromul metabolic si cum se trateaza?
Sindromul metabolic este una din bolile secolului XXI, cauzata de anumiti factori ce tin de stilul de viata pe care il duc oamenii in...
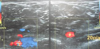
Tromboza venoasa profunda
Tromboza venoasa profunda este o afectiune grava care afecteaza starea de sanatate a venelor, prin ea se intelege blocarea partiala sau completa a vaselor...
Sindromul de oboseala cronica
Una dintre bolile cele mai frecvente in ultimii anii este sindromul de oboseala cronica. Acesta apare si se amplifica datorita stilului, tipului de viata...
Pastile de calmare
Deseori oamenii sunt tentati sa ia pastile de calmare la intamplare fara recomandarea unui medic si chiar fara a citit contraindicatiile acestora, care apar...
Care sunt cauzele ce provoaca reactia alergica de urticarie?
Urticaria se caracterizeaza printr-o reactie alergica de forma unei eruptii cutanate rosiatice pe suprafata pielii. Aceasta se aseamana in general cu petele care apar...



































