Rozaceea sau acneea rozacee – Cauze, simptome, tratament
Rozaceea este o boala cronica inflamatorie neinfectioasa care afecteaza pielea fetei, se manifesta printr-o inrosire vizibila a tenului, aparitia de pustule, leziuni si papule,...
Nevralgia migrenoasa – Cauze, simptome, tratament
Nevralgia migrenoasa (sau cefaleea repetitiva) este o durere de cap destul de puternica care apare in cursul unei zile de mai multe ori, trece...
Arsurile de esofag datorate alimentatiei, surmenajului si stresului
Persoanele care au simtit o senzatie de arsura in spatele sternului si de durere au fost in situatia de a suferi de arsuri de...
Durerile de cap sau cefaleea vara
In sezonul cald soarele ne invita sa ne plimbam in aer liber sa avem activitati recreative insa o cicalitoare durere de cap ne poate...
Gingivita – Cauze si metode de tratament
Una din bolile orale care poate sa apara la orice persoana indiferent de varsta este gingivita. Dupa cum era si de asteptat aceasta boala...
Varicocelul provoaca infertilitatea masculina
Una din bolile frecvente care apar la barbati poarta numele de varicocelul si se poate traduce pe scurt prin varice la nivelul scrotului. Boala reprezinta...
Doxiciclina, antibiotic bacteriostatic mai eficient decat tetraciclina
Doxiciclina face parte din a doua generatie de tetracicline si este un antibiotic care lupta impotriva bacteriilor din organism, inclusiv a celor care sunt...
Compresie asupra nervilor – Cauze, simptome si metode de tratament
In momentul in care apare o presiune mare pe nervi in decursul timpului, se spune ca are loc o compresie asupra nervilor. Daca zona...
Principalele anomalii de tranzit intestinal
Ce se intelege prin anomalii de tranzit intestinal? Insusi cuvantul anomalie se refera la un defect, la ceea ce se abate de la normal....
Edem glezne – Cauzele care duc la aparitia acestei afectiuni
Una dintre problemele comune care apar mai ales in randul persoanelor in varsta este tumefierea nedureroasa a picioarelor, acumularea de lichid in anumite tesuturi...
Ptoza renala (rinichi cazut) – cauze, simptome, tratament
Ptoza renala este cunoscuta si cu numele de rinichi cazut sau nefroptoza. In functie de fiecare pacient in parte (care sufera de aceasta problema)...
Vegetatii adenoide – Simptome, cauze si tratament
Specialistii numesc asemenea vegetatii adenoide de fapt amigdalele faringiene care sunt alcatuite din tesutul limfatic din gatlej, ce se gasesc in zona dintre palat...
Cine a inventat vaccinarea pentru prevenirea epidemiilor si care este istoricul...
Vaccinarea este o metoda de prevenire a epidemiilor, care consta in introducerea, in organism, a unui agent exterior (vaccinul), cu scopul de a genera...
Afla metodele de tratament pentru Molluscum Contagiosum, o boala virala de...
Una dintre bolile virale de piele care este comuna in toata lumea se numeste Molluscum Contagiosum. Aceasta boala este de natura infectioasa si provocata...
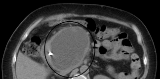
Chistul pancreatic – Cum apare si ce simptome creeaza in organism
Pancreasul face parte din categoria organelor sistemului digestiv si este cea mai vulnerabila parte a acestuia. Se afla situat sub stomac si are forma...



































